Tuberculosis
Strengthening TB programs through smarter, more resilient supply chain solutions World TB DayTuberculosis (TB) remains one of the world’s deadliest infectious diseases. In 2024, an estimated 10.7 million people fell ill with TB and 1.23 million people died. Ending TB requires more than medical tools alone – it requires strong supply chains that keep diagnostics, imaging, medicines, consumables, and laboratory systems available where they are needed most.
World TB Day 2026
Explore PFSCM’s World TB Day resources highlighting how stronger TB diagnostics supply chains support earlier detection, drug-resistant TB diagnosis, and expanded screening access.
How strong supply chains enable TB diagnosis
Our impact in the fight against TB
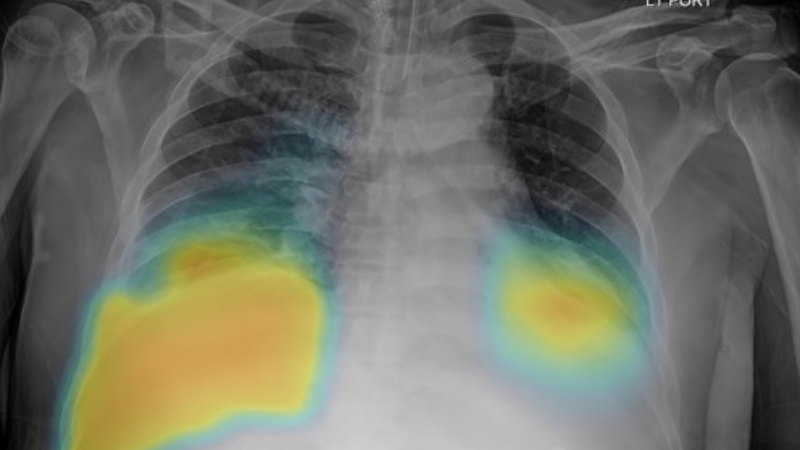
Global TB burden and the need for strong diagnostics
TB remains one of the world’s deadliest infectious diseases, requiring stronger diagnostic capacity and more resilient supply systems. Detecting TB early – particularly drug-resistant TB (DR-TB) – depends on reliable access to molecular diagnostics, imaging technologies, and laboratory consumables. Effective TB diagnostics supply chain management ensures these tools are available across health systems, helping countries expand screening and strengthen case detection.
TB diagnostics and drug-resistant TB detection
Supporting the global health community
Category management strategy
Market intelligence
Clients’ needs alignment
Risk mitigation
Our services that help TB programs
PFSCM’s supply chain expertise ensures the availability, affordability, and quality of TB products, addressing accessibility challenges in LMICs.
Strengthening TB-related diagnostic services
- Installation of CT scanners in Mozambique.
- Installation of X-rays in Pakistan.
- Installation of TB analyzers in Nigeria.
- Project-based procurement approach helps strengthen Mozambique TB response with 29 new fixed X-rays delivered.
- Overseeing the end-to-end supply chain for ultra-portable X-ray systems across Kenya.
- PFSCM and partners navigate complex logistics and changing demands to deliver medical imaging equipment to hospitals in Sri Lanka.
Importance of investing in TB screening and preventive treatment
Related
Sign up to receive public health supply chain news from PFSCM
All content ©2026 Partnership for Supply Chain Management, Inc. All rights reserved.















